组织切片染色方法大全
1
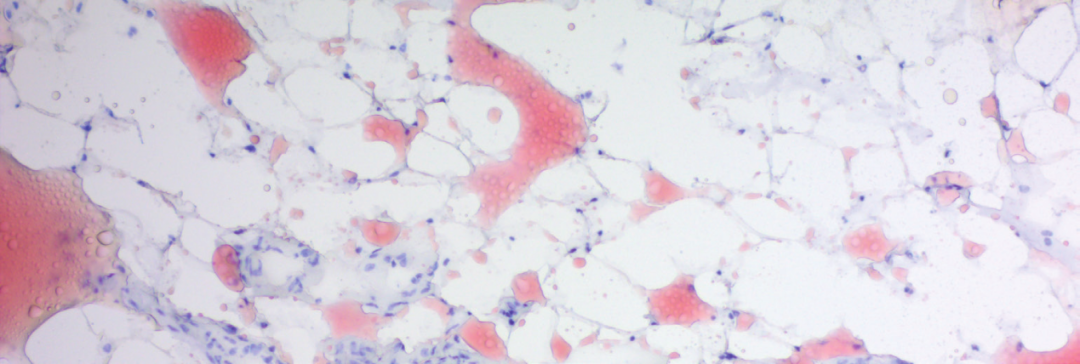
油红O染色(Oil Red O Stain)
油红O染色可用于脂肪细胞和中性脂肪的组织学染色。
主要试剂
丙二醇、油红O溶液、苏木精溶液
染色特点
脂肪细胞:红色
中性脂肪:红色
细胞核:蓝色

图 1. 油红O染色 Oil Red O Stain
染色步骤
注意:染色开始前将油红O溶液水浴加热到60°C。
1. 准备冰冻或石蜡组织切片。
2. 将切片置于丙二醇中室温孵育5分钟。
3. 将切片在60℃油红O溶液中孵育6-10分钟或在室温下孵育过夜。
注意:用蒸馏水将丙二醇稀释到85%浓度。
4. 用85%丙二醇分化切片1分钟。
5. 用蒸馏水冲2次切片。
6. 用苏木精染色组织切片1-2分钟。
7. 用自来水彻底冲洗1次切片。
8. 用蒸馏水冲2次切片。
9. 透明,并用合成树脂封片。
2
Orcein染色 (Orcein Stain)
主要试剂
5%高锰酸钾溶液、 3%硫酸溶液、 2%草酸溶液、Orcein溶液、分化溶液
染色特点
HBsAg:深红色/棕色
弹性纤维:深红/棕色
铜沉积物:深红色/棕色
背景:红/紫色的光

图 2. Orcein染色 Orcein Stain
染色步骤
氧化溶液制备:50毫升蒸馏水+5毫升5%高锰酸钾溶液+3毫升 3%硫酸溶液混匀
1. 对切片进行脱蜡复水。
2. 将切片在新制备的氧化溶液中孵化10分钟。
3. 用自来水简单冲洗切片,然后用蒸馏水浸泡一次切片。
4. 将切片在2%草酸溶液孵育10分钟或直到透明。
注意:在此步骤之后,切片应该是无色的。
5. 用自来水简单冲洗切片,然后用蒸馏水浸泡2分钟。
6. 将切片完全浸泡于含有Orcein溶液的染色瓶中孵育4-8小时(弹性蛋白只需孵育2小时)。
7. 用70%乙醇冲洗切片。
8. 在分化溶液中分化10-60s。
9. 将切片浸入70%乙醇中,并在显微镜下检查分化效果。
注意:如有必要,重复步骤8。
10. 在无水乙醇中快速脱水3次。
11. 透明,并用合成树脂封片。
注意:若追求更佳的染色效果,可延长切片在Orcein溶液中的孵育时间,也可以通过用去离子水简单冲洗来代替步骤7-9,从而省去分化的过程。
3巴氏染色 Papanicolaou (PAP) Stain
主要试剂
苏木精、OG-6溶液、EA-50溶液
染色特点
细胞核:蓝色
高角蛋白细胞:橙色
浅层细胞:粉红色
红细胞:深粉红色
Parabasal细胞:蓝色/绿色
中间细胞:蓝色/绿色
化生细胞:可能含有蓝/绿色和粉红色

图 3. 巴氏染色 Papanicolaou (PAP) Stain
染色步骤
1. 将切片置于95%的酒精中5分钟。
2. 将切片置于70%的酒精中5分钟。
3. 将切片置于蒸馏水中浸泡2分钟。
4. 涂抹足量的苏木精以完全覆盖切片,并孵育5分钟。
5. 用蒸馏水冲洗切片1次,除去多余的染色剂。
6. 在自来水中冲洗切片2分钟。
7. 蒸馏水中浸洗2次切片。
8. 将切片浸在95%乙醇中浸泡数次,并擦掉多余乙醇。
9. 用足量的OG-6染色液完全覆盖切片,并孵育2分钟。
10. 用无水乙醇轻轻冲洗切片。
11. 用足量的EA-50染色液完全覆盖切片,并孵育3分钟。
12. 用无水乙醇轻轻冲洗切片。
13. 在无水乙醇中快速脱水3次。
14. 透明,并用合成树脂封片。
4
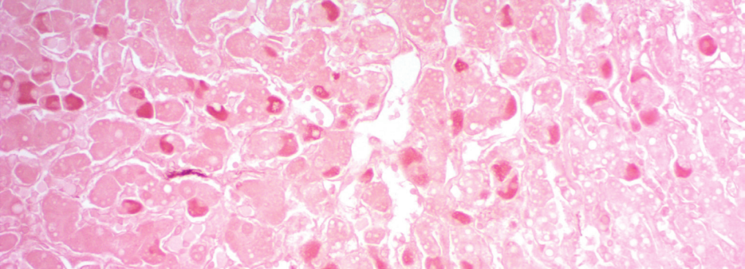
糖原D-PAS染色
主要试剂
1%α-淀粉酶溶液、高碘酸溶液、Schiff’s溶液、苏木精、Bluing 试剂
染色特点
PAS阳性材料:品红色
细胞核:蓝色

图 4. 糖原D-PAS染色 Periodic Acid Schiff (PAS) Diastase Stain
染色步骤
1. 对切片进行脱蜡复水。
2. 如果切片采用Zenker固定,用碘酒去除氯化汞晶体,用硫代硫酸钠透明。
3. 在切片上涂抹1% α-淀粉酶溶液,并在室温下孵育10-30分钟。
4. 用蒸馏水冲洗2次。
5. 在切片上涂抹1%高碘酸溶液,并在室温下孵育5分钟。
6. 用蒸馏水冲洗切片4次。
7. 在切片上涂抹Schiff's 溶液,孵育10-20分钟。
8. 用自来水漂洗切片2分钟。
9. 用蒸馏水冲洗切片。
10. 在组织切片上涂抹苏木精,并在室温下孵育1分钟。
11. 用自来水冲洗切片1分钟,再换蒸馏水冲洗切片2分钟。
12. 使用Bluing试剂染色5s,然后用蒸馏水冲洗掉染液。
13. 采用分级乙醇脱水。
14. 透明,并用合成树脂封片。
5
PAS染色
主要试剂
高碘酸溶液、Schiff’s 溶液、苏木精、Bluing 试剂
染色特点
PAS阳性材料:品红色
细胞核:黑色/蓝色

图 5. PAS染色 Periodic Acid Schiff (PAS) Stain
染色步骤
1. 对切片进行脱蜡复水。
2. 如果切片是Zenker固定的,用碘酒去除氯化汞晶体,用硫代硫酸钠透明。
3. 将切片置于高碘酸溶液中浸泡5分钟(肾脏、皮肤和胃蛋白酶消化的肝脏切片浸泡10分钟)。
4. 用蒸馏水冲洗4次切片。
5. 将切片浸入Schiff’s 溶液中15分钟(肾脏、皮肤和胃泌素酶消化的肝脏切片浸入30分钟)。
6. 用自来水冲洗1次切片。
7. 用蒸馏水冲洗1次切片。
8. 用苏木精染色切片1分钟。
9. 在流动的自来水中冲洗切片2分钟。
10.使用Bluing试剂染色10s,然后用蒸馏水冲洗掉染液。
11. 采用分级酒精脱水。
12. 透明,并用合成树脂封片。
6
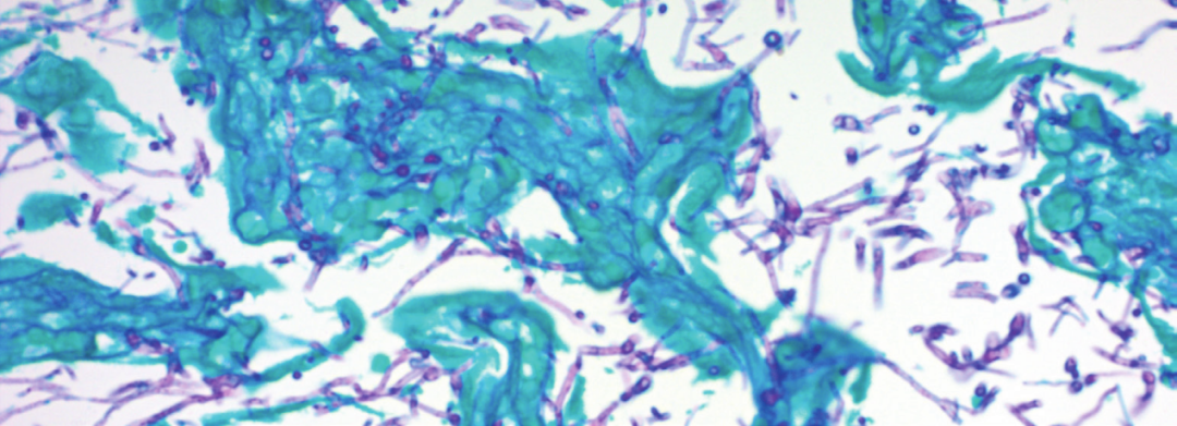
PAS真菌染色
主要试剂
高碘酸溶液、Schiff’s溶液、浅绿溶液
染色特点
真菌类生物:品红
PAS阳性物质:品红
其他组织成分:绿色/蓝色

图 6. PAS真菌染色 Periodic Acid Schiff (PAS) for Fungus Stain
染色步骤
1. 对切片进行脱蜡复水。
2. 如果切片是Zenker固定的,用碘酒去除氯化汞晶体,用硫代硫酸钠透明。
3. 将切片置于高碘酸溶液中浸泡10分钟。
4. 用蒸馏水冲洗切片4次。
5. 将切片在Schiff’s溶液中浸泡15-30分钟。
6. 用自来水冲洗切片一次。
7. 用蒸馏水冲洗切片一次。
8. 用浅绿色溶液中对切片染色2分钟。
9. 用无水乙醇冲洗一次。
10. 在无水乙醇中脱水2次,透明,并用合成树脂封片。
7
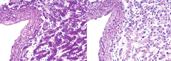
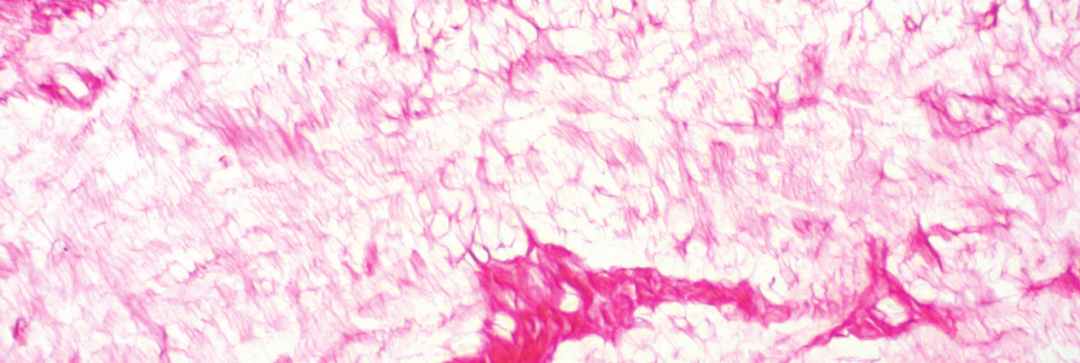
天狼星红心肌染色
天狼星红心肌染色可用于薄层和胶原纤维的组织学观察。
主要试剂
0.2%磷钼酸溶液、天狼星红溶液、0.5%醋酸溶液
染色特点
胶原蛋白:红色
Septa:红色
细胞质:无色至略带黄色

图 7. 天狼星红心肌染色 Picro-Sirius Red Stain(For Cardiac Muscle)
染色步骤
1. 对切片进行脱蜡复水。
2. 涂抹足量的0.2%磷钼酸溶液,以完全覆盖组织切片并孵育1-5分钟。
3. 将切片置于蒸馏水中浸泡一次。
4. 用足够的天狼星红溶液完全覆盖组织切片,孵育60-90分钟。
5. 用0.5%醋酸溶液快速冲洗切片2次。
6. 用无水乙醇冲洗1次切片。
7. 在无水乙醇中脱水2次,透明,并用合成树脂封片。
8
天狼星红胶原纤维染色
天狼星红胶原纤维染色可用于组织切片中肌肉和胶原纤维的组织学观察。
主要试剂
天狼星红溶液、0.5%醋酸溶液
染色特点
胶原蛋白:红色
肌肉纤维:黄色
细胞质:黄色

图 8. 琼斯染色Jones Stain
染色步骤
1. 对切片进行脱蜡复水。
2. 用足量天狼星红溶液完全覆盖组织切片并孵育60分钟。
3. 用0.5%醋酸溶液快速冲洗切片2次。
4. 用无水乙醇冲洗切片。
5. 再在无水乙醇中脱水2次,透明,并用合成树脂封片。
